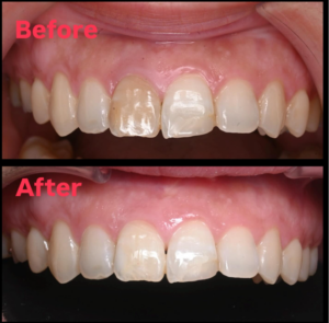
2026.01.04 ホワイトニング ホワイトニング ウォーキングブリーチを行いました。 歯の神経がなくなった後に、歯が着色してきたとのことでした。ウォーキングブリーチ、歯の中からのホワイトニングで着色をとり、歯の色調改善を行いました。 #松本市歯科医院#松本市歯医者#松本市#歯科#歯医者#歯科医院 #根管治療#歯の矯正#精密根管治療#マイクロスコープ#ラバーダム#インプラント#矯正#マウスピース#小児歯科#親知らず#小児矯正#プレオルソ#セラミック#ジルコニア#顎関節#嚥下 #ホワイトニング#ウォーキングブリーチ