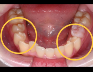
2026.01.04 小児歯科 子どもの歯の管理で注意したい中心結節 歯の中心結節。歯はさまざまな形をしており、時折とても尖った状態で生えてくることがあります。尖ったところが折れてしまうと、歯髄炎になるリスクがあり、折れないようにプラスチックなどで補強する必要性がある場合があります。 #松本市歯科医院#松本市歯医者#松本市#歯科#歯医者#歯科医院 #根管治療#歯の矯正#精密根管治療#マイクロスコープ#ラバーダム#インプラント#矯正#マウスピース#小児歯科#親知らず#小児矯正#プレオルソ#セラミック#ジルコニア#顎関節#嚥下